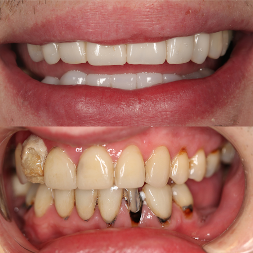
When a tooth becomes damaged, cracked, or weakened, it can affect not just your oral health but your confidence as well. Fortunately, modern dentistry offers a durable and aesthetic solution — the dental crown.
At Fortitude Valley Dentist, we specialise in creating high-quality, natural-looking dental crowns that restore both the function and beauty of your smile. Whether you’ve experienced tooth decay, wear and tear, or an injury, a dental crown can provide lasting protection and strength.
In this article, we’ll explore everything you need to know — from when a dental crown is needed and what to expect during the procedure, to the different types of crowns, aftercare tips, and cost options.
What Is a Dental Crown?

A dental crown — sometimes referred to as a cap — is a custom-made restoration designed to completely cover and protect a damaged, weakened, or aesthetically compromised tooth. Think of it as a durable “helmet” for your tooth that restores its original shape, strength, and appearance, allowing you to bite, chew, and smile with confidence once again.
Unlike a filling, which repairs only a portion of the tooth, a dental crown encases the entire visible part of the tooth above the gumline. It is permanently cemented into place, creating a seamless, natural-looking surface that blends harmoniously with your surrounding teeth.
Crowns play a vital role in restorative dentistry, helping to save teeth that might otherwise need to be extracted. They also offer significant cosmetic benefits, concealing imperfections such as severe discolouration, cracks, or irregular shapes.
When a Dental Crown May Be Needed
Dental crowns are one of the most versatile and long-lasting solutions in modern restorative dentistry. They’re not just about fixing damaged teeth — they’re about protecting, strengthening, and enhancing your natural smile for the long term.
At Fortitude Valley Dentist, we often recommend crowns when a tooth is too compromised for a simple filling or bonding, but still strong enough to avoid extraction. By covering the entire visible portion of the tooth, a crown restores both function and beauty, allowing you to chew comfortably and smile confidently again.
Below are some of the most common reasons why your dentist may suggest a dental crown:
Severe Tooth Decay
When decay extends deep into a tooth and destroys a significant portion of its structure, a standard filling may no longer be enough to restore its strength. In such cases, a dental crown acts as a protective barrier, encasing the remaining tooth and preventing further decay or breakage.
Without a crown, a severely decayed tooth may continue to weaken, leading to pain, infection, or even tooth loss. A well-placed crown not only saves the tooth but also restores its full functionality and appearance.
Worn or Eroded Teeth
Over time, your teeth naturally wear down through everyday use. However, excessive wear caused by bruxism (teeth grinding), acid erosion from diet or acid reflux, or simply ageing can thin and flatten the enamel, making your teeth more sensitive and prone to fracture.
Dental crowns are an excellent solution to rebuild and protect these worn teeth. They restore lost height, improve bite alignment, and help prevent jaw discomfort associated with uneven wear. Many patients also notice an immediate improvement in their overall smile aesthetics and comfort while eating.
Fractured or Broken Teeth
A cracked or fractured tooth can quickly worsen if left untreated, as chewing pressure can deepen the crack and cause further structural damage. Crowns are designed to hold the tooth together, distributing bite forces evenly and preventing the crack from spreading.
At Fortitude Valley Dentist, we use advanced imaging and 3D scanning to accurately assess the extent of the fracture and create a custom crown that restores both function and natural appearance. This ensures your repaired tooth feels as strong and comfortable as your natural ones.
Damage from Trauma or Accident
Accidents or sports injuries can cause sudden trauma, leading to chipped, broken, or dislodged teeth. In these cases, a crown can effectively rebuild the tooth’s structure and appearance.
Our team at Fortitude Valley Dentist prioritises urgent dental care and can provide same-day or temporary crowns when needed, ensuring your smile is protected while a permanent restoration is being crafted.
By restoring the damaged tooth with a crown, you prevent long-term complications like infection, shifting of neighbouring teeth, or bite misalignment.
Large or Failing Fillings
Teeth with large or multiple fillings are often weaker than natural, intact teeth. Over time, the surrounding tooth structure may start to break down or the filling may loosen, leading to leakage or further decay.
When this happens, a crown is a more secure and lasting solution. It encapsulates the entire tooth, replacing the weakened areas and sealing out bacteria. This not only prolongs the life of the tooth but also enhances stability and strength for everyday chewing and speaking.
After Root Canal Treatment
Teeth that have undergone root canal therapy are more brittle and vulnerable to cracking because the procedure removes the nerve and blood supply from inside the tooth.
To protect the treated tooth and prevent fracture, your dentist will usually recommend covering it with a crown. This ensures the tooth remains strong enough to handle regular biting pressure while maintaining its natural look.
At Fortitude Valley Dentist, we often use porcelain or zirconia crowns for root canal-treated teeth because they combine both strength and aesthetic appeal — giving patients a durable restoration that looks completely natural.
Cosmetic Enhancement
Dental crowns aren’t limited to restorative purposes — they’re also a popular cosmetic dentistry solution. If you have teeth that are discoloured, misshapen, uneven, or slightly misaligned, crowns can dramatically improve their appearance.
Compared to veneers or bonding, crowns provide full coverage, meaning they can conceal deeper imperfections and achieve more significant changes in tooth shape and colour.
At Fortitude Valley Dentist, we take an artistic approach to smile design — carefully selecting the shade, shape, and translucency of your crowns to blend seamlessly with your natural teeth. The result? A brighter, more symmetrical, and confident smile.
Not Sure If You Need a Crown?
Sometimes, it’s not immediately obvious whether a crown is necessary. For instance, minor chips or small fillings might not require full coverage — while deeper cracks, large cavities, or structural weaknesses usually do.
Our experienced dentists at Fortitude Valley Dentist will perform a thorough examination, which may include:
- Digital X-rays to check internal tooth integrity
- 3D scans to assess tooth structure and alignment
- Bite analysis to identify uneven wear or grinding patterns
From there, we’ll clearly explain your options — whether it’s a crown, inlay, onlay, or another restorative solution — so you can make an informed decision based on your goals, comfort, and budget.
The Benefits of Getting a Dental Crown

A dental crown offers more than just a cosmetic fix — it provides functional and long-term benefits, including:
1. Restored Strength and Durability
Crowns reinforce weakened teeth, enabling you to chew and bite without discomfort or risk of further damage.
2. Natural Appearance
Modern materials like porcelain and zirconia closely mimic the translucency of natural enamel, ensuring your crown blends seamlessly with surrounding teeth.
3. Protection from Further Damage
Once placed, the crown shields the underlying tooth from decay, fractures, and wear.
4. Improved Comfort
A well-fitted crown restores the proper bite and alignment, reducing sensitivity and discomfort.
5. Long-Lasting Results
With proper care, dental crowns can last 10 to 15 years or longer, making them a reliable investment in your oral health.
6. Enhanced Confidence
A beautiful, functional smile can significantly boost your self-esteem and overall wellbeing.
How a Dental Crown Works

When a tooth becomes weak — due to decay, wear, trauma, or previous dental work — it loses its ability to withstand normal biting and chewing forces. A crown reinforces this tooth, restoring its full functionality while also enhancing its appearance.
The process involves reshaping the affected tooth and fitting it with a custom-designed crown that matches the size, shape, and colour of your natural teeth. Once cemented in place, it acts as a protective shell, preventing further damage and reducing sensitivity.
Because each patient’s mouth is unique, crowns are individually crafted using advanced digital scanning technology to ensure a precise, comfortable fit. The result is a restoration that looks and feels just like your natural tooth — only stronger.
Dental crowns are available in a range of materials, each designed to meet different functional, aesthetic, and budget needs. Choosing the right crown depends on where the tooth is located, how much pressure it endures, and your personal preferences.
At Fortitude Valley Dentist, we take the time to discuss your options, explaining the pros and cons of each material so you can make an informed decision.
Here’s a detailed look at the most common types of dental crowns used today:
1. Porcelain Crowns
Porcelain crowns are among the most popular choices for restoring front teeth, where appearance is key.
Porcelain closely mimics the natural translucency and shine of real enamel, creating a beautiful, lifelike finish that blends seamlessly with your surrounding teeth. These crowns are custom-coloured to match your smile perfectly, ensuring that your restoration looks completely natural.
Advantages:
- Excellent aesthetic result
- Stain-resistant surface
- Ideal for visible front teeth
- Biocompatible and safe for most patients
Considerations:
Porcelain crowns are slightly less durable than metal-based options, so they may not be ideal for back teeth exposed to heavy chewing pressure.
2. Ceramic Crowns
Ceramic crowns are a modern, metal-free solution that offers a balance of strength and beauty. They are especially suitable for people with metal allergies or sensitivities, as they are made entirely from biocompatible materials.
These crowns are created using high-strength dental ceramics that can withstand daily wear while maintaining a natural appearance. Ceramic crowns are an excellent option for both front and back teeth, depending on the type of ceramic used.
Advantages:
- All-ceramic, metal-free composition
- Highly aesthetic and natural-looking
- Suitable for patients with metal sensitivities
- Gentle on surrounding gum tissue
Considerations:
While strong, ceramics can sometimes be more brittle under heavy biting forces compared to zirconia or metal options.
3. Porcelain-Fused-to-Metal (PFM) Crowns
Porcelain-fused-to-metal crowns (PFM) combine the strength of metal with the beauty of porcelain. These crowns feature a metal substructure for durability, overlaid with tooth-coloured porcelain for a natural finish.
PFM crowns are often used for back teeth or premolars, where additional strength is needed to withstand chewing forces while maintaining a natural appearance.
Advantages:
- Strong and long-lasting
- Aesthetic, tooth-coloured outer layer
- Suitable for most teeth, including molars
- Proven and widely used technology
Considerations:
Over time, the metal underneath may show as a faint dark line near the gumline — particularly if the gums recede — which makes PFM crowns slightly less ideal for highly visible front teeth.
4. Zirconia Crowns
Zirconia crowns represent one of the most advanced options in modern restorative dentistry. Made from zirconium dioxide, a highly durable ceramic, they are incredibly strong, fracture-resistant, and biocompatible.
Zirconia crowns are ideal for both front and back teeth. They combine exceptional toughness with a natural translucency that rivals porcelain.
At Fortitude Valley Dentist, we often recommend zirconia crowns for patients seeking a long-lasting, aesthetic, and worry-free solution.
Advantages:
- Extremely durable and chip-resistant
- Natural tooth-like translucency
- Ideal for patients who grind their teeth (bruxism)
- Biocompatible and safe for gums
- Long-lasting performance with proper care
Considerations:
Because zirconia is so strong, adjustments require specialised equipment, so precise digital scanning is essential to ensure an accurate fit — which we provide using advanced 3D scanning technology.
5. Gold and Other Metal Crowns
Metal crowns, including gold, nickel, or cobalt-chromium alloys, have been used in dentistry for decades due to their outstanding strength and longevity.
While they are less common in cosmetic-focused dentistry today, metal crowns remain an excellent choice for molars, where aesthetics are less of a concern and durability is critical.
Gold crowns, in particular, are known for their gentle wear against opposing teeth and their resistance to fracture.
Advantages:
- Exceptional strength and durability
- Minimal wear to surrounding teeth
- Long lifespan (often decades with good care)
- Ideal for back teeth and patients with heavy bite pressure
Considerations:
Metal crowns do not blend with natural teeth, making them less suitable for visible areas of the mouth.
Which Type of Crown Is Right for You?
Choosing the right crown depends on several factors, including:
- The location of the tooth in your mouth
- Your bite and chewing habits
- Desired aesthetic outcome
Budget and available payment options - Any metal sensitivities or allergies
During your consultation at Fortitude Valley Dentist, our experienced team will perform a thorough examination and recommend the most suitable crown based on your clinical needs and personal preferences. We’ll also discuss interest-free payment plans through MySmilePlan and MediPay, so you can achieve your dental goals comfortably and affordably.
Modern Innovations in Crown Materials
With continuous advancements in dental technology, today’s crowns are more precise, durable, and natural-looking than ever.
Using digital 3D scans and computer-aided design (CAD/CAM) systems, we can create crowns that fit your teeth perfectly, reducing adjustment time and ensuring optimal comfort.
The result is a crown that not only restores the function of your tooth but also enhances your smile’s appearance with long-lasting results.
The Dental Crown Procedure: What to Expect

At Fortitude Valley Dentist, we take pride in ensuring your dental crown experience is comfortable, precise, and stress-free.
1. Initial Consultation
Your journey begins with a comprehensive consultation. Our team will assess your tooth, take digital X-rays, and discuss your treatment options.
If a crown is suitable, we’ll explain the process, materials, and costs so you can make an informed decision.
2. Tooth Preparation
The tooth is gently reshaped to make space for the crown. This involves removing a small amount of enamel to ensure a proper fit.
If your tooth is severely damaged, a core buildup may be done first to strengthen the structure.
3. Digital 3D Scanning
We use advanced digital 3D scanning technology — no messy impressions required. This ensures precision and comfort, allowing us to design a perfectly fitted crown.
4. Temporary Crown
While your custom crown is being crafted in our dental laboratory, we’ll place a temporary crown to protect your tooth.
5. Crown Placement
Once your permanent crown is ready, you’ll return for a short appointment. The temporary crown is removed, and your new crown is carefully positioned and cemented.
Our dentists will make final adjustments to ensure a natural bite and comfortable fit.
6. The Final Result
The outcome is a strong, durable, and natural-looking tooth that feels just like your own. You can eat, speak, and smile with complete confidence.
Caring for Your Dental Crown
Proper care is key to maintaining the longevity and beauty of your dental crown. Here are some simple tips to help you protect your investment:
- Brush twice daily with a soft-bristled toothbrush and fluoride toothpaste.
- Floss carefully around the crown to prevent plaque buildup at the gumline.
- Avoid biting hard objects such as ice, pens, or fingernails.
- If you grind your teeth, ask your dentist about a custom nightguard.
- Maintain regular dental check-ups and professional cleanings.
With consistent care, your crown can last many years while keeping your smile healthy and attractive.
Cost of Dental Crowns in Brisbane
The cost of a dental crown in Brisbane can vary depending on factors such as:
- The material used (porcelain, zirconia, metal, etc.)
- The complexity of your case
- Whether additional treatments (e.g. root canal or core buildup) are required
At Fortitude Valley Dentist, we believe quality dental care should be accessible. That’s why we offer interest-free payment plans through MySmilePlan and MediPay, allowing you to manage treatment costs comfortably.
During your consultation, our team will provide a detailed quote and discuss flexible payment options tailored to your budget.
Common Questions About Dental Crowns
Are dental crowns painful?
No. The procedure is performed under local anaesthetic, so you’ll remain comfortable throughout. Mild sensitivity after the procedure is normal and subsides within a few days.
How long does a crown last?
With proper care and maintenance, crowns can last 10–15 years or even longer.
Can a crown look natural?
Absolutely. Modern crowns are designed to blend seamlessly with your natural teeth in colour, shape, and translucency.
Do I need a root canal before getting a crown?
Not always. Root canal therapy is only needed if the tooth’s nerve is infected or severely damaged. Your dentist will advise based on your situation.
What happens if my crown becomes loose or damaged?
If your crown becomes loose or chipped, contact us immediately. Avoid trying to fix it yourself — early attention can prevent further complications.
Why Choose Fortitude Valley Dentist?

Choosing where to receive your dental crown treatment is an important decision that can significantly affect your comfort, confidence, and long-term oral health. At Fortitude Valley Dentist, we understand that every smile is unique — and so is every treatment plan. Our mission is to combine advanced dental technology, clinical excellence, and compassionate patient care to deliver results that truly make you smile.
Whether you need a dental crown to restore a damaged tooth, improve your smile’s appearance, or protect your teeth after root canal therapy, our team is committed to ensuring your experience is positive, comfortable, and personalised from start to finish.
Here’s why so many patients across Fortitude Valley, Newstead, Brisbane CBD, and surrounding suburbs choose us for their restorative dental care:
Experienced Dentists with Advanced Restorative Expertise
Our dentists bring years of experience in restorative and cosmetic dentistry, having successfully completed hundreds of dental crown and bridge procedures. Each case is approached with precision, from diagnosis to final restoration. We continually stay updated with the latest techniques and materials in modern dentistry, ensuring you receive care that’s not only reliable but also aesthetically outstanding.
Whether it’s a single crown or a full-mouth restoration, our team takes pride in crafting crowns that blend seamlessly with your natural teeth — both in function and appearance.
State-of-the-Art Technology
We believe that technology enhances precision, comfort, and results. That’s why our clinic is equipped with cutting-edge digital tools, including 3D intraoral scanning, CAD/CAM technology, and digital X-rays.
Instead of traditional messy moulds, our digital scanning process allows for quick, accurate impressions, resulting in crowns that fit perfectly the first time. This technology also shortens turnaround time and ensures that your restoration looks and feels just like your natural teeth.
Our use of high-quality dental materials such as porcelain, zirconia, and ceramic ensures your crown is strong, durable, and designed to last for many years with proper care.
Personalised Treatment Plans
At Fortitude Valley Dentist, we understand that no two smiles are the same. Before recommending a dental crown, we conduct a thorough oral health assessment, discuss your aesthetic goals, and consider your budget and preferences.
We take time to explain the advantages of each crown material, the step-by-step treatment process, and the expected results, so you can make an informed decision with complete confidence.
Whether you’re looking for a cosmetic upgrade or a functional restoration, our tailored approach ensures your crown enhances both the health and beauty of your smile.
Comfort-Focused Care in a Relaxing Environment
Dental treatments can sometimes cause anxiety, but our goal is to make every visit as relaxing and stress-free as possible. From our welcoming reception area to our gentle approach in the dental chair, we prioritise your comfort at every stage of your treatment.
Our compassionate dental team takes the time to listen, answer your questions, and ensure you feel supported throughout your visit. For patients who experience dental anxiety, we offer gentle sedation options and clear communication to help you feel at ease.
Your comfort, safety, and peace of mind are our top priorities.
Transparent Pricing & Interest-Free Payment Options
We believe everyone deserves access to quality dental care — without financial stress. That’s why Fortitude Valley Dentist provides transparent pricing, detailed treatment estimates, and flexible payment plans designed to suit your budget.
We also offer interest-free payment options through trusted healthcare payment providers, allowing you to start your treatment immediately and spread the cost over time.
Our friendly front desk team will happily guide you through your payment and insurance options, ensuring a smooth, worry-free experience from consultation to completion.
A Team That Truly Cares
Beyond our technical skills and modern facilities, what truly sets us apart is our commitment to genuine care. We value long-term relationships with our patients and believe in helping you achieve and maintain lasting oral health.
From your very first visit, you’ll notice the difference — we take the time to listen, to educate, and to provide the highest standard of care in a professional yet friendly setting.
Your Smile, Restored with Confidence

A damaged or weakened tooth doesn’t have to affect your life. With modern dental crowns, you can restore your smile’s health, strength, and appearance with results that look and feel completely natural.
At Fortitude Valley Dentist, we’re dedicated to providing exceptional care, advanced technology, and personalised service to help you achieve a confident, lasting smile.
Same-Day Appointments Available
There’s no need to delay your care — same-day appointments are available at Fortitude Valley Dentist.
Call (07) 3544 7777 or book online to schedule your consultation today.
Any surgical or invasive procedure carries risks. Before proceeding, seek a second opinion from an appropriately qualified health practitioner.There’s no need to delay your care — same-day appointments are available at Fortitude Valley Dentist.
Call (07) 3544 7777 or book online to schedule your consultation today.
Any surgical or invasive procedure carries risks. Before proceeding, seek a second opinion from an appropriately qualified health practitioner.

