A bright, white smile is widely associated with good oral health, confidence, and overall vitality. In today’s image-conscious world, where personal and professional interactions often happen face-to-face or on screen, the appearance of your smile can leave a lasting impression. It’s no surprise that teeth whitening has become one of the most sought-after cosmetic dental treatments in Brisbane, offering a simple yet highly effective way to enhance your smile without invasive procedures.
Everyday habits such as drinking coffee or tea, enjoying red wine, smoking, or consuming richly coloured foods can gradually stain teeth over time. Natural ageing also plays a role, as tooth enamel thins and reveals the darker dentine beneath. Even patients who maintain excellent oral hygiene may notice their teeth becoming dull or discoloured as the years go by. Teeth whitening addresses these concerns by safely lifting stains and restoring a brighter, more youthful appearance to your smile.
Whether you’re preparing for a wedding, job interview, special event, or simply want to feel more confident in your day-to-day life, professional teeth whitening can deliver noticeable results in a relatively short period of time. Modern whitening techniques allow for customised treatment plans, meaning results can be tailored to your individual goals, tooth condition, and sensitivity level.
At Fortitude Valley Dentist, we regularly see patients searching for safe, effective, and long-lasting teeth whitening solutions in Brisbane. Many are unsure which option is right for them, how white their teeth can realistically become, or whether whitening is suitable for their dental health. Others have tried over-the-counter products with limited success and are looking for professional guidance and more predictable results.
This comprehensive guide has been created to answer those questions and more. It explains everything you need to know about teeth whitening in Brisbane — including the different treatment options available, what results you can expect, how long whitening lasts, important safety considerations under Australian dental regulations, typical costs, and how to maintain your brighter smile long after treatment. By understanding the process and your options, you’ll be better equipped to make informed decisions about your cosmetic dental care and achieve a smile you can feel confident about.
Why Do Teeth Become Discoloured?
Teeth naturally lose their brightness over time, even in people who maintain excellent oral hygiene. This change in colour is a gradual process influenced by lifestyle habits, environmental factors, and the natural structure of the teeth themselves. Understanding why teeth become discoloured is an important step in setting realistic expectations for teeth whitening results and determining which treatment option will be most effective.
Tooth discolouration generally falls into two main categories: extrinsic stains, which affect the outer surface of the tooth, and intrinsic stains, which develop within the tooth structure. Professional teeth whitening is highly effective for many types of discolouration, particularly surface stains, while deeper internal stains may require alternative cosmetic dental solutions.
Common Causes of Tooth Discolouration
Food and Drinks
Many of the foods and beverages we consume daily contain strong pigments that can stain tooth enamel. Coffee, tea, red wine, cola, curry, berries, and tomato-based sauces are among the most common culprits. These substances contain chromogens — colour-producing compounds — that adhere to enamel, especially when consumed frequently. Acidic drinks can also soften enamel, making it easier for stains to penetrate.
Smoking and Tobacco Use
Smoking and the use of tobacco products are among the fastest ways to discolour teeth. Nicotine and tar leave stubborn yellow and brown stains that accumulate over time and can be difficult to remove with regular brushing alone. Teeth whitening can significantly improve the appearance of tobacco-related stains, although ongoing use may shorten the longevity of results.
Ageing
As part of the natural ageing process, tooth enamel gradually becomes thinner. When this happens, the darker dentine layer beneath the enamel becomes more visible, giving teeth a yellow or dull appearance. Age-related discolouration is very common and often responds well to professional teeth whitening, although results may vary depending on the condition of the enamel.
Medications
Certain medications can cause tooth discolouration, particularly when exposure occurs during tooth development. Some antibiotics, such as tetracycline, as well as certain medical treatments, may result in intrinsic staining that is more resistant to whitening. In these cases, cosmetic treatments like dental veneers or bonding may be recommended instead.
Poor Oral Hygiene
Inadequate brushing and flossing allow plaque and tartar to build up on the teeth. These deposits not only make teeth appear yellow or dull but also trap stains from food and drinks, intensifying discolouration over time. Professional cleaning is often an essential first step before teeth whitening to ensure optimal results.
Trauma or Injury
An injury to a tooth can disrupt blood flow to the pulp, causing the tooth to darken internally. This type of intrinsic discolouration does not always respond to conventional whitening and may require specialised internal bleaching or restorative dental treatment.
Extrinsic vs Intrinsic Stains: What Whitening Can and Can’t Do
Teeth whitening is most effective for extrinsic stains, which are surface-level discolourations caused by diet, smoking, and plaque buildup. Many patients also see excellent improvement in mild to moderate age-related discolouration.
However, intrinsic stains, which originate from within the tooth, are often more resistant to whitening treatments. While professional whitening may still offer some improvement, alternative cosmetic options such as veneers, crowns, or composite bonding may be recommended to achieve a more uniform and long-lasting result.
At Fortitude Valley Dentist, we assess the cause and severity of tooth discolouration before recommending treatment, ensuring your whitening plan is both realistic and tailored to your individual needs.
How Teeth Whitening Works

Professional teeth whitening is a scientifically proven cosmetic dental treatment designed to safely lighten the natural colour of your teeth. It works by targeting the molecules responsible for staining, rather than removing or damaging the tooth structure itself.
The active ingredients used in professional whitening treatments are typically hydrogen peroxide or carbamide peroxide. When applied to the teeth, these whitening agents break down into oxygen molecules. The oxygen penetrates the porous enamel surface and reacts with stain compounds trapped within the tooth. This process, known as oxidation, breaks the stains into smaller, less pigmented particles, making the teeth appear visibly whiter and brighter.
Importantly, this chemical reaction occurs without removing enamel or altering the physical structure of the tooth. When used correctly under professional supervision, teeth whitening is considered a conservative and non-invasive cosmetic treatment.
Why Professional Whitening Is More Effective

While many over-the-counter whitening products use similar active ingredients, there are significant differences in how professional whitening treatments work compared to store-bought kits.
Dentist-supervised teeth whitening uses carefully controlled concentrations of whitening agents that are stronger than those legally available to the public in Australia. This allows for more predictable and noticeable results in a shorter time frame, while still maintaining safety.
In addition, professional whitening is customised to your individual teeth. Factors such as your starting tooth shade, enamel thickness, type of staining, and tooth sensitivity are all taken into account. Custom-fitted trays, protective gum barriers, and tailored treatment times help ensure the whitening gel is applied evenly and comfortably.
Minimising Sensitivity and Risk
One of the most common concerns about teeth whitening is sensitivity. Professional whitening systems are designed to minimise this risk through:
- Controlled application and exposure time
- Advanced formulations that include desensitising agents
- Protective measures for gums and soft tissues
- Professional monitoring throughout the treatment
In contrast, over-the-counter whitening products often use generic trays or strips that can leak onto the gums, leading to irritation, uneven whitening, and increased sensitivity.
A Safe and Controlled Process
At Fortitude Valley Dentist, teeth whitening treatments are always preceded by a dental assessment to ensure your teeth and gums are healthy enough for whitening. This step is essential for identifying issues such as decay, enamel wear, or gum disease that could affect both safety and results.
By combining proven whitening science with professional oversight, dentist-supervised whitening delivers brighter, longer-lasting results while prioritising your comfort and oral health.
Teeth Whitening Options Available in Brisbane

Patients in Brisbane have access to several teeth whitening options, ranging from professional in-clinic treatments to at-home and over-the-counter solutions. Choosing the right option depends on your individual goals, budget, sensitivity level, oral health, and lifestyle. Understanding how each method works — and its limitations — is key to achieving safe, effective, and long-lasting results.At Fortitude Valley Dentist, teeth whitening treatments are tailored to each patient following a comprehensive dental assessment, ensuring both safety and predictable outcomes.
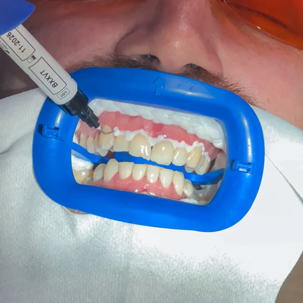
1. In-Chair Teeth Whitening (Professional Whitening)
In-chair teeth whitening is the fastest and most effective method for achieving a noticeably brighter smile. This treatment is performed entirely at the dental clinic under the supervision of a qualified dental professional.At Fortitude Valley Dentist, we use Pola Office, a professional-grade whitening system designed to deliver rapid results while prioritising patient comfort and safety.
Key Benefits of In-Chair Whitening
- Visible results in as little as 30–60 minutes
- Teeth can be lightened by up to 8 shades in a single visit
- Fully dentist-supervised for safety and precision
- Advanced formulation designed to minimise tooth sensitivity
- Immediate improvement, ideal for time-sensitive occasions
Who Is In-Chair Whitening Best For?
- Patients seeking instant, noticeable results
- Individuals preparing for weddings, interviews, or special events
- Patients with moderate to heavy staining from food, drinks, smoking, or ageing
- Those who prefer a professionally controlled treatment environment
Unlike some older whitening systems, Pola Office does not require a bleaching light, which helps reduce heat exposure and lowers the risk of post-treatment sensitivity while still achieving excellent results.
2. Take-Home Professional Whitening Kits
Professional take-home whitening kits offer a more gradual approach to teeth whitening while still delivering reliable, dentist-supervised results. This option is ideal for patients who prefer flexibility or have a history of sensitivity.
What’s Included?
- Custom-fitted whitening trays made specifically for your teeth
- Dentist-prescribed whitening gel with controlled concentration
- Clear instructions tailored to your teeth, goals, and sensitivity level
- Typically used over 1–2 weeks, depending on desired results
Advantages of Take-Home Whitening
- Gradual, natural-looking whitening
- Greater control over how white your teeth become
- Often more comfortable for patients with sensitive teeth
- Excellent for maintaining results after in-chair whitening
Because the trays are custom-made, the whitening gel is evenly distributed across the teeth, reducing the risk of gum irritation and patchy whitening that can occur with generic pharmacy products.
3. Over-the-Counter Whitening Products
Over-the-counter whitening products, such as strips, pens, and pre-filled trays, are widely available at pharmacies throughout Brisbane. While convenient, these products have important limitations.
- Lower peroxide concentrations due to Australian regulations
- One-size-fits-all designs can lead to uneven whitening
- Higher likelihood of gel contacting gums, causing irritation
- Limited effectiveness for moderate to severe discolouration
These products may help maintain results after professional whitening but are generally not a substitute for dentist-supervised teeth whitening, particularly for patients seeking noticeable shade improvement.
4. Whitening Toothpastes
Whitening toothpastes are designed to remove surface stains using mild abrasives or chemical agents. While they can help improve brightness over time, they do not alter the natural shade of the teeth.
Whitening toothpastes are best used as part of a daily oral hygiene routine to support long-term maintenance rather than as a primary whitening solution.
Choosing the Right Whitening Option
The most successful teeth whitening outcomes are achieved when the treatment is matched to the individual. Factors such as enamel thickness, type of staining, existing dental restorations, and tooth sensitivity all play a role in determining which option will be most effective.
A professional dental assessment ensures whitening is not only effective, but also safe and appropriate for your oral health.
What to Expect at Fortitude Valley Dentist

Every teeth whitening journey at Fortitude Valley Dentist begins with a comprehensive assessment. This step-by-step approach ensures that whitening is not only effective, but also safe, comfortable, and appropriate for your individual oral health needs. By tailoring treatment to each patient, we help deliver predictable results while minimising sensitivity and potential complications.
Step 1: Dental Examination & Professional Clean
Before any whitening treatment is carried out, your dentist will perform a thorough dental examination and professional clean. This step is essential for both safety and optimal results.
During this appointment, your dentist will:
- Check for tooth decay, gum disease, enamel wear, or exposed roots
- Identify any existing dental issues that may need treatment prior to whitening
- Perform a professional scale, clean, and polish to remove plaque, tartar, and surface stains
- Ensure whitening will not cause unnecessary sensitivity or discomfort
Whitening teeth that are not clean or healthy can lead to uneven results and increased sensitivity. A professional clean allows the whitening agent to work more effectively and evenly across the tooth surface.
Step 2: Shade Assessment & Expectations
Once your teeth are clean and healthy, your dentist will assess your current tooth shade using professional dental shade guides. This helps establish a clear starting point and allows for realistic goal setting.
At this stage, your dentist will:
- Discuss how white your teeth can realistically become
- Explain how your tooth structure, enamel thickness, and type of staining affect results
- Clarify that existing restorations such as fillings, crowns, or veneers will not change colour
Setting clear expectations ensures you are fully informed and satisfied with the outcome of your treatment.
Step 3: Personalised Treatment Plan
No two smiles are the same, which is why a personalised whitening plan is essential. Based on your examination, shade assessment, and lifestyle considerations, your dentist will recommend the most suitable whitening option.
This may include:
- In-chair professional whitening for fast, dramatic results
- Take-home whitening kits for gradual, controlled whitening
- A combination of both, often used to maximise and maintain results
Your dentist will also consider factors such as tooth sensitivity, time availability, and long-term maintenance when designing your treatment plan.
Step 4: Whitening Treatment
Once your treatment plan is confirmed, whitening can begin.
For In-Chair Whitening:
- Protective barriers are applied to shield gums and soft tissues
- Whitening gel is carefully applied to the teeth
- The treatment is monitored in real time to ensure comfort and effectiveness
- Results are assessed during and after the session
This controlled environment allows for precise application and immediate results.
For Take-Home Whitening Kits:
- Custom-fitted trays are adjusted to ensure comfort and even coverage
- You’ll receive detailed instructions on how to use the trays and gel safely
- Aftercare advice is provided to help minimise sensitivity and maximise results
Support is always available if you have questions during your whitening process.
Is Teeth Whitening Safe?

Yes — teeth whitening is safe when performed or supervised by a registered dental professional.In Australia, stronger whitening agents are legally restricted to dental practitioners, ensuring:
- Appropriate case selection
- Controlled application
- Reduced risk of enamel damage or chemical burns
Temporary sensitivity is the most common side effect and usually resolves within 24–72 hours.
Teeth Whitening and Sensitivity
Some patients experience short-term sensitivity after whitening. This occurs when whitening agents temporarily open microscopic enamel pores.
How We Minimise Sensitivity
- Professional-strength formulations with desensitising agents
- Shorter exposure times if needed
- Customised protocols for sensitive patients
- Post-treatment desensitising products
Patients with existing sensitivity should inform their dentist so treatment can be adjusted.
How Long Do Teeth Whitening Results Last?
Results vary depending on lifestyle and maintenance.
Average Longevity
- In-chair whitening: 12–24 months
- Take-home whitening: 6–18 months
- Touch-ups extend results significantly
Factors That Affect Longevity
- Smoking
- Coffee and red wine consumption
- Oral hygiene habits
- Regular dental cleans
Aftercare Tips to Maintain Your White Smile
To protect your whitening results:
- Avoid staining foods and drinks for 48–72 hours
- Use a straw for coloured beverages
- Brush twice daily and floss
- Use whitening toothpaste for maintenance
- Attend regular professional cleans
- Avoid smoking
Cost of Teeth Whitening in Brisbane
Cosmetic dental treatments such as teeth whitening are an investment in your confidence and appearance. To help make treatment accessible to as many patients as possible, Fortitude Valley Dentist offers a range of flexible payment options, allowing you to spread the cost over time rather than paying upfront.
SuperCare – Early Release of Superannuation
Eligible patients may be able to access their superannuation through SuperCare to help pay for dental treatment, either for themselves or a family member. This option may be suitable if:
- You or a family member has superannuation funds
- You do not have sufficient private health insurance
- You do not currently have access to the funds required for dental treatment
SuperCare has helped thousands of Australians access essential and elective dental care when other funding options were not available.
Humm (National Dental Plan)
Humm’s National Dental Plan allows eligible patients to pay for dental treatment over time with zero interest, borrowing up to $30,000 for dental services.
Key benefits include:
- No interest, ever
- Flexible repayment terms of up to 24 months
- Fast and simple online application process
This option allows you to receive the treatment you want now and spread the cost into manageable repayments.
Afterpay
Afterpay enables patients to enjoy their smile now and pay later through four equal fortnightly payments, with:
- No interest
- No additional fees when payments are made on time
Afterpay is a popular option for patients seeking a simple, short-term payment solution for cosmetic dental treatments.
Ezidebit
Ezidebit is a secure direct debit payment option available for larger treatment plans, typically over $2,000. This option allows eligible patients to spread repayments over time through scheduled direct debits and is widely trusted across Australia.
TLC Payment Plan
The TLC Payment Plan offers funding from $2,001 to $50,000, making it suitable for patients requiring higher-value dental treatment plans.
Benefits may include:
- Competitive interest rates for eligible applicants
- Funding approval often within 24 hours
- Flexible repayment terms of up to 84 months
- No upfront or hidden fees
- No penalties for early repayments
TLC may be suitable for a wide range of patients, including those on single incomes or government benefits, subject to approval.
Health Funds & Payment Flexibility
Fortitude Valley Dentist works with major health funds where applicable, and our team is happy to discuss payment options and help you choose a solution that best suits your circumstances.
By offering multiple payment pathways, we aim to remove financial barriers and make professional teeth whitening in Brisbane accessible, flexible, and stress-free.
Frequently Asked Questions
Can teeth whitening damage enamel?
No. When used correctly under dental supervision, whitening does not damage enamel.
Will whitening work on crowns or fillings?
No. Restorations do not change colour. Replacement may be recommended after whitening.
How white can my teeth get?
Results vary, but many patients achieve 5–8 shades lighter, depending on starting colour and stain type.
Can whitening be repeated?
Yes. Your dentist will advise safe intervals for touch-ups.
Why Choose Fortitude Valley Dentist for Teeth Whitening?

Choosing where to have your teeth whitening treatment is just as important as choosing the treatment itself. The expertise of the dental team, the quality of the whitening system, and the level of personalised care you receive all directly impact the safety, comfort, and final results of your smile.At Fortitude Valley Dentist, teeth whitening is delivered with a strong focus on clinical excellence, patient education, and long-term oral health.
Experienced Brisbane CBD Dental Team
Our dental team has extensive experience treating patients from across Brisbane CBD, Fortitude Valley, Newstead, Spring Hill, and surrounding areas. Every whitening treatment is performed or supervised by qualified dental professionals who understand how to safely achieve optimal cosmetic results while protecting your teeth and gums.
Modern Whitening Systems (Pola Office)
We use Pola Office, a professional-grade whitening system trusted by dental professionals worldwide. This modern system is designed to deliver fast, effective whitening results while helping to minimise post-treatment sensitivity. Unlike older technologies, it does not rely on bleaching lights, reducing heat exposure and improving patient comfort.
Personalised Treatment Planning
No two smiles are the same. Your whitening treatment is tailored to your individual needs, taking into account your tooth shade, enamel condition, type of staining, sensitivity level, and cosmetic goals. This personalised approach ensures realistic expectations and predictable outcomes.
Strong Focus on Comfort and Safety
Patient comfort and safety are central to our approach. Every whitening treatment begins with a comprehensive dental assessment to confirm suitability, followed by controlled application and monitoring throughout the process. This reduces the risk of sensitivity, gum irritation, and uneven results.
Convenient Fortitude Valley Location
Located in the heart of Fortitude Valley, our clinic is easily accessible for patients working or living in Brisbane CBD and nearby suburbs. Flexible appointment times make it easy to fit teeth whitening into your schedule.
Flexible Payment Options
We believe cost should not be a barrier to high-quality dental care. Fortitude Valley Dentist offers a range of flexible payment options, including interest-free plans and third-party payment providers, allowing you to spread the cost of your whitening treatment in a way that suits your budget.
Book Your Teeth Whitening Consultation
If you’re searching for teeth whitening in Brisbane, Fortitude Valley Dentist offers professional whitening solutions designed to deliver safe, effective, and long-lasting results. Our experienced dental team takes a personalised approach to cosmetic dentistry, ensuring your whitening treatment is tailored to your oral health, lifestyle, and smile goals.
Whether you’re considering in-chair whitening for immediate results or a take-home solution for gradual improvement, we’re here to guide you every step of the way — from your initial assessment through to aftercare and maintenance.
📍 Address: 117 Warry Street, Fortitude Valley QLD 4006
📞 Phone: (07) 3544 7777
📧 Email: info@fortitudevalleydentist.com.au
A brighter, more confident smile starts with expert care. Book your teeth whitening consultation today and discover how professional whitening can transform your smile.
Final Thoughts: Choosing Safe & Professional Teeth Whitening in Brisbane
Teeth whitening is a proven and effective way to enhance your smile, but achieving the best results depends on more than just the product used. The experience of the dental team, the quality of the whitening system, and the professional oversight of your treatment all play a critical role in ensuring whitening is both safe and successful.
While over-the-counter whitening products may offer convenience, they often fall short in terms of effectiveness and can increase the risk of uneven results or sensitivity when used without professional guidance. Dentist-supervised teeth whitening, on the other hand, is carefully planned, customised to your oral health, and delivered in line with Australian dental standards — providing peace of mind alongside visible results.
At Fortitude Valley Dentist, teeth whitening is approached as part of comprehensive dental care, not a one-size-fits-all cosmetic procedure. Every patient receives a thorough assessment, clear expectations, and a personalised treatment plan based on their dental health, lifestyle, and long-term smile goals. This commitment to patient education, safety, and transparency reflects our dedication to high clinical standards and ethical dental practice.
If you are considering teeth whitening in Brisbane, seeking professional advice is the most reliable way to determine which option is right for you and what results you can realistically expect. With expert care, modern whitening systems, and ongoing support, a brighter and more confident smile is an achievable and sustainable outcome.

